Informații pentru medici

Mulțumim pentru colaborare și încredere

                Ne onorează fiecare recomandare primită din partea dumneavoastră. Înțelegem cât de importantă este îngrijirea pacienților pe care îi tratați și apreciem încrederea de a-i îndruma către cabinetul nostru.

                Fiecare pacient este tratat cu aceeași grijă, atenție și respect pe care dumneavoastră le acordați – ca unui membru al propriei familii.
                Ne propunem să menținem o comunicare clară și deschisă, pentru a asigura continuitatea tratamentului și cea mai bună experiență posibilă pentru pacienții trimiși.

Dr. Eduard Constantin

Medic Specialist endodonție

        Dr. Eduard Constantin (Dr. Ed) este medic specialist în endodonție, absolvent al Universității de Medicină și Farmacie „Carol Davila” din București. Pasionat de endodonție și de perfecționarea continuă a tehnicilor de tratament, Dr. Ed și-a dedicat întreaga activitate promovării excelenței în endodonția modernă.
              Cu peste 12 ani de experiență în utilizarea microscopului operator, Dr. Ed realizează fiecare tratament sub magnificație, folosind un microscop Zeiss — recunoscut pentru calitatea optică excepțională și fiabilitatea sa clinică, integrând tehnologia avansată cu o abordare meticuloasă și predictibilă. Această metodă permite obținerea unor rezultate stabile și precise, în special în cazurile complexe, care necesită atenție sporită la detalii.
        Dr. Eduard Constantin este membru internațional al American Association of Endodontists (AAE), cea mai importantă organizație profesională dedicată endodonției la nivel mondial. Apartenența la această asociație reflectă angajamentul său față de formarea continuă, standardele internaționale de excelență și aplicarea celor mai noi protocoale și tehnologii în practica zilnică.
        În colaborarea cu medicii , Dr. Ed pune accent pe comunicare clară, respect reciproc și o abordare centrată pe pacient. Scopul său este de a oferi tratamente endodontice sigure și eficiente, care susțin planurile de reabilitare complexă realizate de colegii stomatologi.
            

Serviciile noastre

Tratament endodontic

Retratament endodontic

Tratamente in traumatisme dentare

Urgențe endodontice

Îndepartare instrumente fracturate pe canal

Reparații perforatii, cǎi false, terapie pulparǎ vitalǎ, etc.

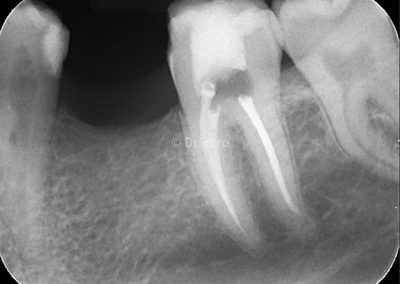
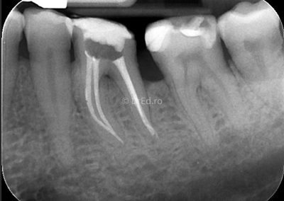
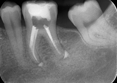
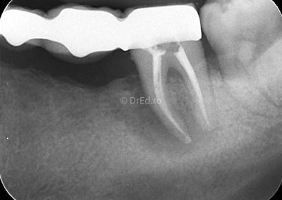
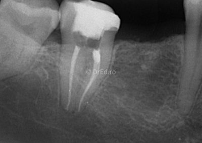
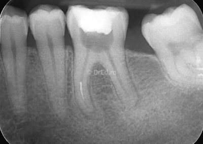
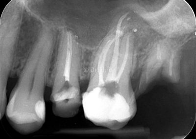
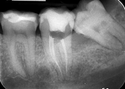
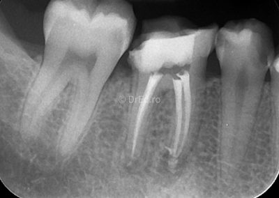
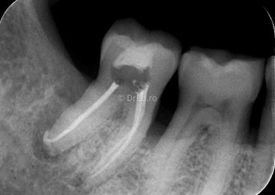
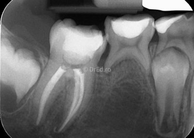
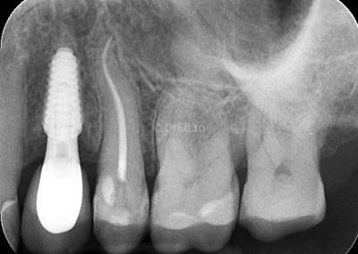
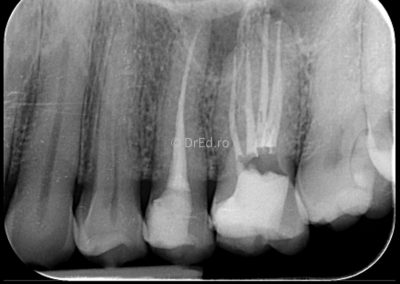
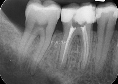
Galerie

Toate imaginile, fotografiile și radiografiile publicate pe acest site sunt protejate prin drepturi de autor și constituie proprietatea exclusivă a Dred.ro.
Aceste materiale sunt furnizate exclusiv în scop informativ și educațional și nu conțin date cu caracter personal sau informații care permit identificarea pacienților, în concordanță cu legislația privind protecția datelor cu caracter personal și GDPR.
Reproducerea, copierea, distribuirea, publicarea, transmiterea, modificarea sau orice altă utilizare, integrală ori parțială, a acestor materiale, în orice formă și prin orice mijloace, fără consimțământul prealabil scris al titularului drepturilor, este strict interzisă și poate atrage răspunderea civilă și/sau penală, în condițiile legii aplicabile privind drepturile de autor și protecția proprietății intelectuale.

Acceptǎm colaborări noi!

Suntem deschiși colaborărilor cu medici stomatologi care doresc să ofere pacienților lor tratamente endodontice realizate la standarde  înalte de calitate și predictibilitate.
Activitatea noastră este dedicată exclusiv tratamentelor endodontice,  realizate conform celor mai recente protocoale clinice. Colaborarea se bazează pe comunicare clară, transmiterea completă a informațiilor privind evoluția cazului și reintegrarea pacientului în cabinetul medicului stomatolog după finalizarea tratamentului.

Dacǎ ești medic stomatolog, contactează-ne aici:

6 + 8 =

Program

Luni | 9:00 – 20:00

Marți | 9:00 – 20:00

Miercuri | 9:00 – 20:00

Joi | 9:00 – 20:00

Vineri | 9:00 – 14:00pm

Sâmbătă | închis

Duminica | închis

Contact

Strada Louis Blanc nr. 18-20, în incinta Clinicii Confident

dr.eduard.constantin@gmail.com

Copyright © 2026 Dr.Ed . All Rights Reserved.